Ortodoncia en Palencia
Clínica especializada en ortodoncia en Palencia
En Clínica Dental Junco Trujillo ofrecemos diferentes tratamientos de ortodoncia en Palencia adaptados a cada paciente. Somos expertos tanto en tratamientos de ortodoncia invisible como ortodoncia tradicional y hemos desarrollado casos de éxito desde niños, adolescentes y adultos.
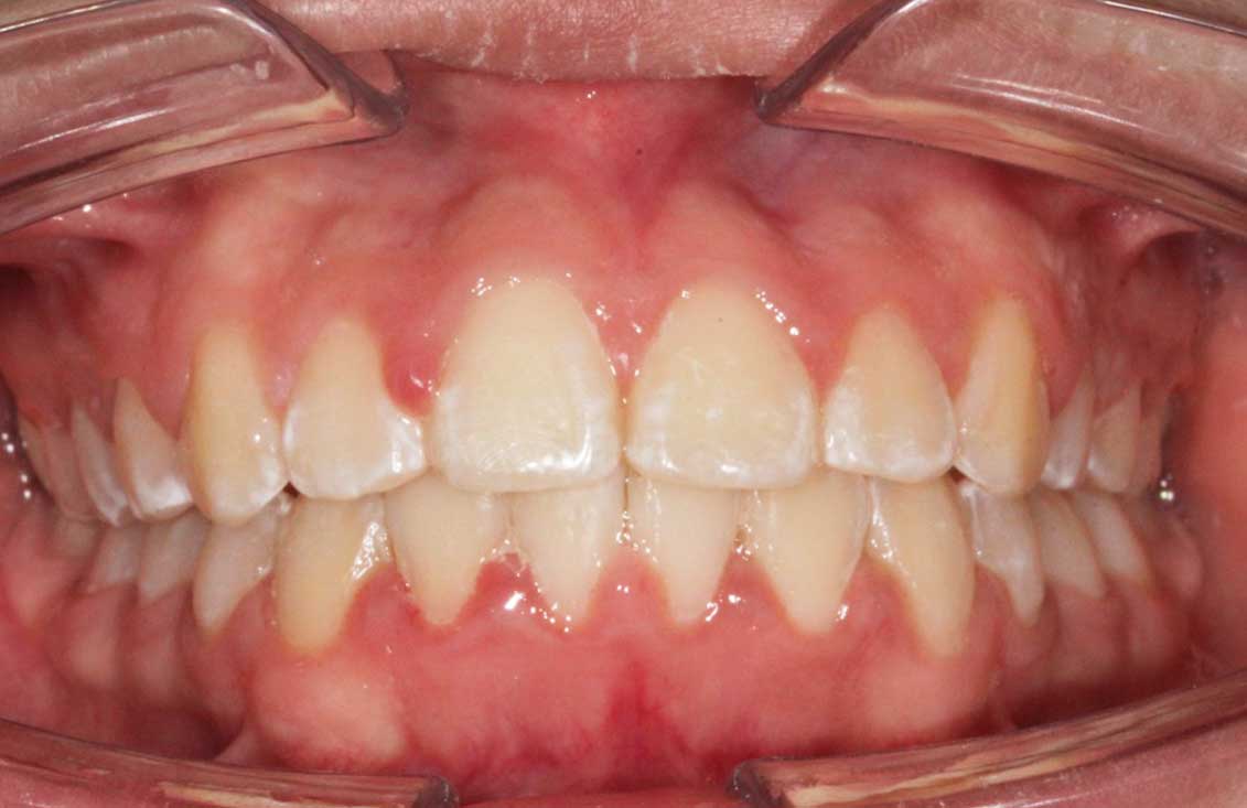
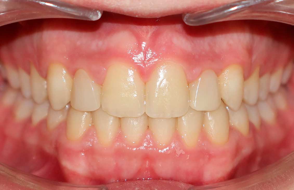
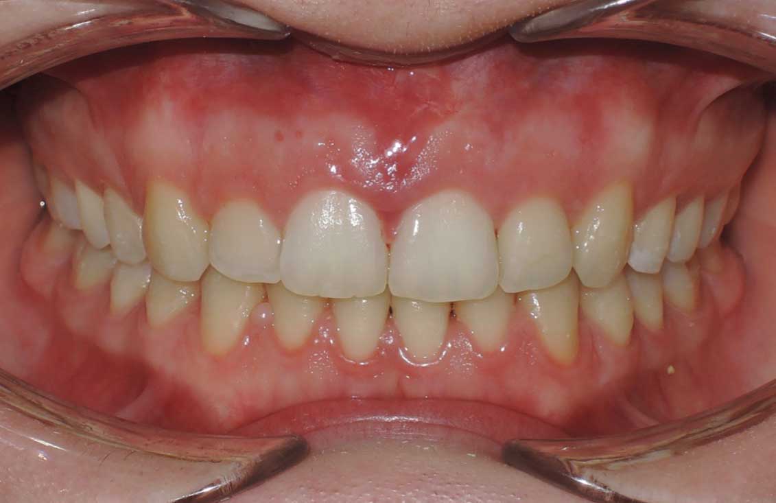
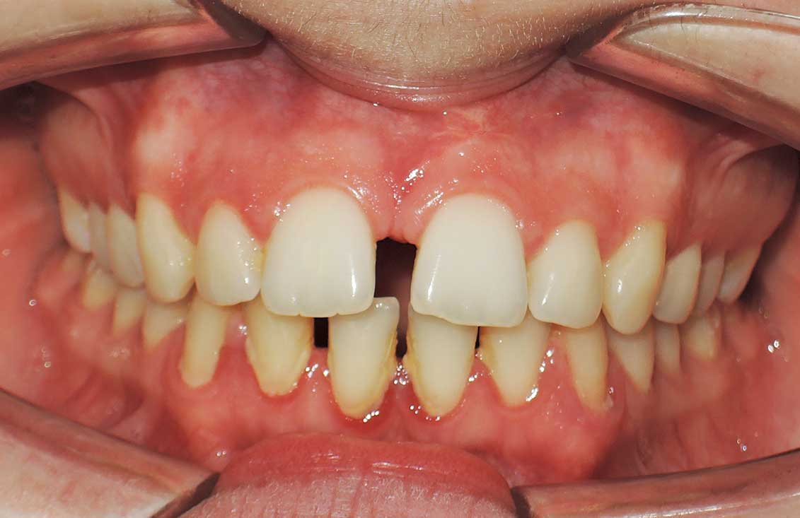
Casos de ortodoncia
Ortodoncia, algo más que mover dientes.
La ortodoncia estudia, previene y corrige las alteraciones del desarrollo, las formas de las arcadas dentarias y la posición de los maxilares, con el fin de restablecer el equilibrio morfológico y funcional de la boca y de la cara, mejorando también la estética facial. Enfrenta problemas que van mucho más allá de la colocación individual y pormenorizada de las piezas dentarias, y afronta, por el contrario, la corrección de alteraciones de los maxilares, de la cara y, sobre todo, de los trastornos funcionales de la masticación.
Para la corrección de las maloclusiones se usan determinados aparatos entre los cuáles se encuentran desde técnicas como la ortodoncia tradicional, con aparatos de metal, o la ortodoncia invisible con marcas reconocidas como Invisalign o Angel Aligner. Ambas cumplen la misma función, es decir, alinear los dientes. Tanto los clásicos brackets como los alineadores invisibles son adecuados para corregir cualquier problema de malposición dentaria.
Preguntas frecuentes
¿Cómo es la primera visita?
En la primera visita se valorará la necesidad del tratamiento de ortodoncia y se solicitarán las pruebas necesarias para realizar el diagnóstico, plan de tratamiento y confección del presupuesto.
¿A partir de qué momento llevo a mi hijo al ortodoncista?
Lo más recomendable es hacer la primera visita entre los 4-6 años para identificar cuando antes si existe algún tipo de maloclusión y el tratamiento generalmente es más sencillo y corto.
¿Hasta qué edad se puede poner ortodoncia?
El movimiento dentario no tiene límite de edad, cualquiera se podría corregir la posición alterada de los dientes.
¿Puedo llevar ortodoncia si tengo periodontitis o piorrea?
En principio, si la periodontitis está controlada y el paciente está siguiendo un tratamiento, sí es posible someterse a un tratamiento de ortodoncia.
¿Los resultados de la ortodoncia se pueden mantener toda la vida?
El resultado del tratamiento sí se puede mantener toda la vida. Sin embargo, para ello es fundamental utilizar retenedores una vez que nos han retirado la ortodoncia. Esto se debe a que los dientes tienen una tendencia natural a moverse y es necesario establecer un “freno” -en forma de retenedores- para que no vuelvan a la posición que tenían antes del tratamiento.
¿Puedo llevar ortodoncia si tengo periodontitis o piorrea?
En principio, si la periodontitis está controlada y el paciente está siguiendo un tratamiento, sí es posible someterse a un tratamiento de ortodoncia.
