Blanqueamiento dental en Palencia
Clínica especializada en blanqueamiento dental en Palencia
En Clínica Dental Junco Trujillo ofrecemos tratamientos de blanqueamiento dental en Palencia adaptados a cada paciente, utilizando técnicas seguras y eficaces para mejorar el color de los dientes sin dañar el esmalte.
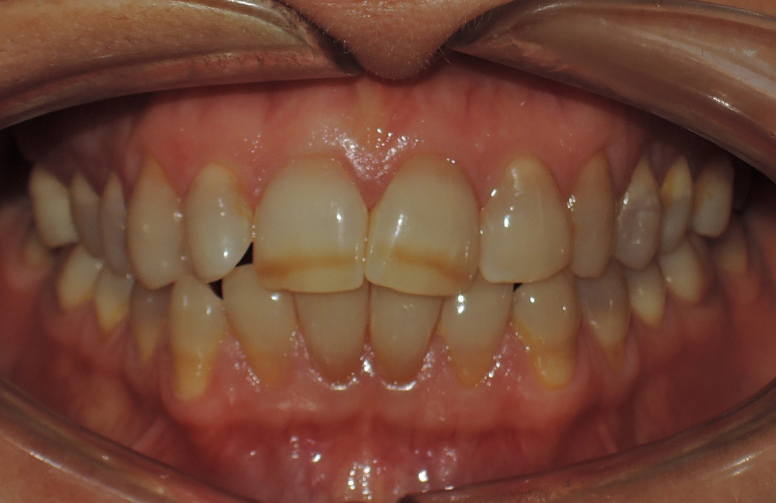
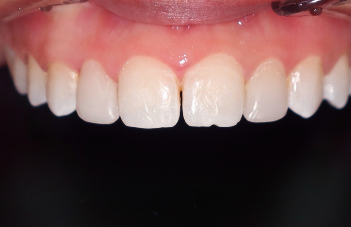
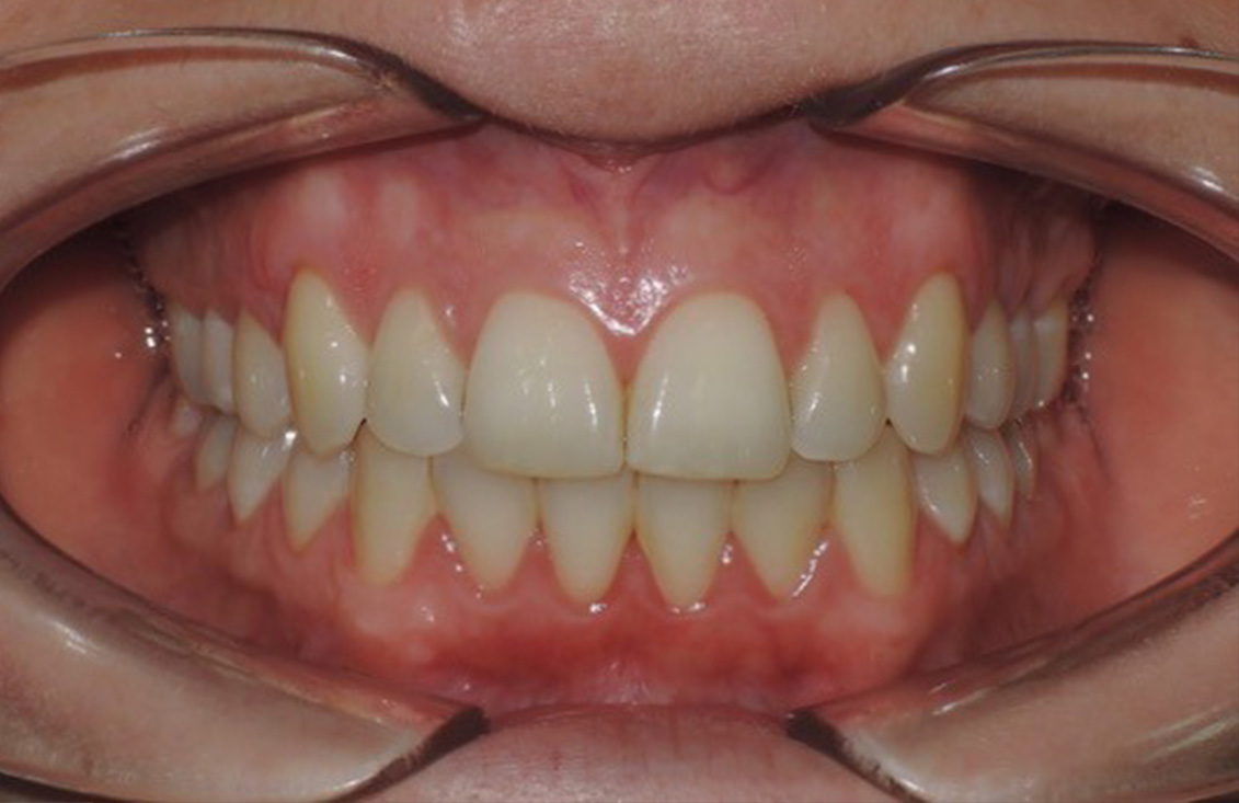
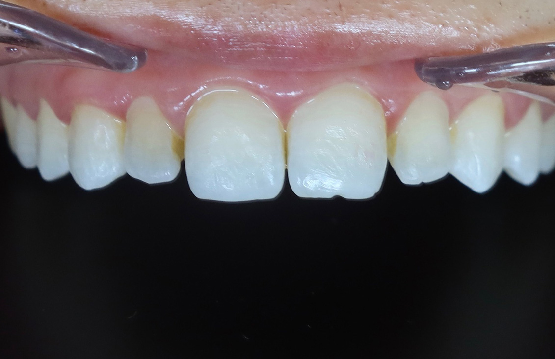
Casos de blanqueamiento dental
Simple. Indoloro. Sin efectos secundarios.
El blanqueamiento dental ambulatorio o en casa se realiza mediante un gel blanqueador que se aplica con una férula hecha a medida, diseñada para ajustarse perfectamente a los dientes. Es un tratamiento cómodo, sencillo y eficaz que el paciente realiza en su propio domicilio.
La duración habitual es de 2 a 3 semanas, aunque puede variar según cada caso. Es un método seguro para dientes y encías, ya que no altera la estructura dental, solo aclara su color.
En Clínica Junco Trujillo el tratamiento parte siempre de un diagnóstico personalizado, analizando la causa del oscurecimiento y el estado bucodental del paciente. Esto permite elegir el agente y la técnica más adecuados para lograr el máximo blanqueamiento posible y mantener los resultados en el tiempo.
Preguntas frecuentes
¿En qué consiste el blanqueamiento dental profesional?
El blanqueamiento dental profesional es un tratamiento de estética dental que aclara varios tonos el color de los dientes mediante geles blanqueadores seguros y controlados por el dentista. En nuestra clínica en Palencia realizamos un estudio previo para asegurarnos de que el tratamiento es adecuado y seguro para cada paciente.
¿Cuánto dura un blanqueamiento dental?
La duración del blanqueamiento dental depende de los hábitos del paciente (café, vino tinto, tabaco, higiene oral…). De forma general, los resultados pueden mantenerse entre 1 y 3 años. Recomendamos revisiones periódicas en clínica para prolongar el efecto.
¿El blanqueamiento dental daña el esmalte?
No. Cuando el tratamiento se realiza bajo supervisión profesional, el blanqueamiento dental no daña el esmalte. Utilizamos productos seguros y adaptados a cada caso, protegiendo siempre las encías y los tejidos blandos.
¿Es doloroso el blanqueamiento dental?
No es un tratamiento doloroso. Algunos pacientes pueden notar una ligera sensibilidad dental temporal durante o después del procedimiento, pero suele desaparecer en pocos días. En caso necesario, aplicamos productos desensibilizantes.
¿Cuánto cuesta un blanqueamiento dental en Palencia?
El precio del blanqueamiento dental en Palencia puede variar según el tipo de tratamiento (en clínica, combinado o con férulas en casa) y las necesidades del paciente. Lo más recomendable es realizar una valoración personalizada para ofrecer un presupuesto ajustado.
¿Todo el mundo puede hacerse un blanqueamiento dental?
No todos los casos son aptos. Antes de realizar un blanqueamiento dental es imprescindible una revisión para descartar caries, enfermedad periodontal o hipersensibilidad severa. En Clínica Dental Junco Trujillo en Palencia realizamos siempre un diagnóstico previo.
¿El blanqueamiento funciona en coronas o empastes?
No. El blanqueamiento dental solo actúa sobre el diente natural. Las coronas, carillas o empastes no cambian de color, por lo que puede ser necesario valorar su sustitución tras el tratamiento para igualar el tono.
