Entre sus principales ventajas están la estética (son prácticamente imperceptibles), la comodidad (sin rozaduras metálicas) y la posibilidad de retirarlos para comer y cepillarse los dientes, lo que facilita la higiene. Además, la planificación digital permite un mayor control y previsión del resultado final del tratamiento.
Invisalign en Palencia
Somos especialistas en ortodoncia invisible, con multitud de tratamientos y marcas como Angel Aligner o Invisalign en Palencia
En Clínica Dental Junco Trujillo ofrecemos tratamientos de ortodoncia invisible en Palencia con diferentes marcas que existen en el mercado y que adaptamos a las necesidades de cada paciente. Endereza tus dientes con unos prácticos alineadores cómodos e inapreciables para otras personas que harán de tu ortodoncia un tratamiento más llevadero y agradable.
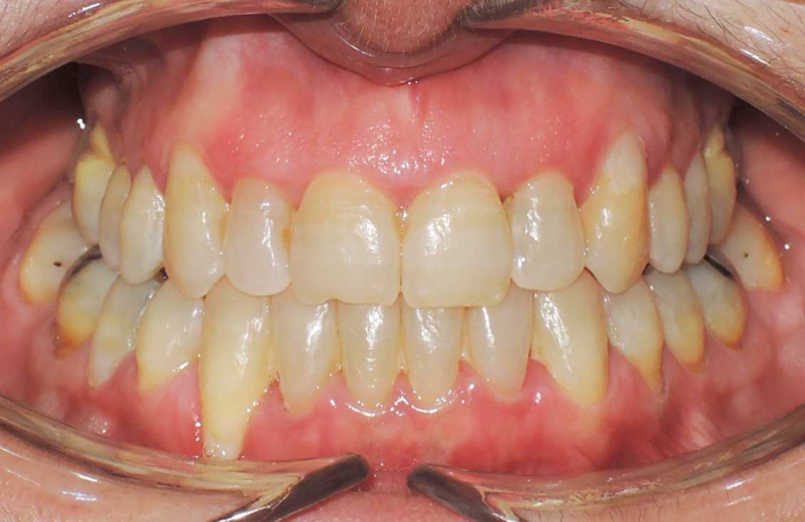
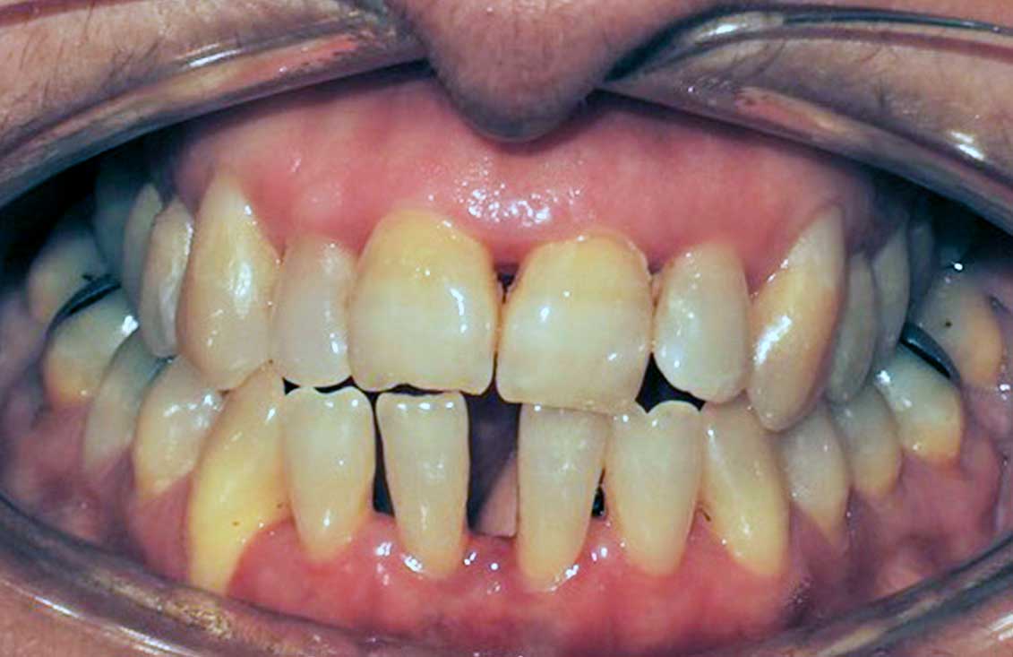
Casos de ortodoncia Invisalign
Invisalign, lo esencial es invisible a los ojos.
La ortodoncia invisible se ha desarrollado enormemente durante los últimos años, y gracias a sus avances tecnológicos hace que sus alineadores transparentes y removibles tengan la misma efectividad que la ortodoncia tradicional.
Dentro de las diferentes marcas que existen en el mercado, nosotros trabajamos con varias, siendo Angel Aligner o Invisilign las más reconocidas. En la Clínica Dental Junco Trujillo también disponemos de la tecnología iTero, un escáner intraoral que permite la visualización de la boca de los pacientes en 3D, lo que nos permite realizar un diagnóstico más preciso con una visualización aproximada de lo que será el resultado final del tratamiento.
Preguntas frecuentes
¿Qué es la ortodoncia invisible?
La ortodoncia invisible es un tratamiento que utiliza alineadores transparentes y removibles fabricados a medida para mover los dientes de forma progresiva. A diferencia de los brackets, no lleva piezas metálicas fijas, lo que la convierte en una opción más estética y cómoda para muchos pacientes.
¿Qué marcas de ortodoncia invisible existen?
Actualmente existen distintas marcas en el mercado. La más reconocida a nivel internacional es Invisalign, aunque también hay otras opciones que trabajan con sistemas de alineadores personalizados como es Angel Aligner con la que también trabajamos. Todas comparten la misma base: planificación digital y fabricación de férulas transparentes, aunque pueden variar en materiales, tecnología y protocolos.
¿En qué consiste el tratamiento con Invisalign?
Invisalign utiliza una secuencia de alineadores transparentes diseñados mediante planificación digital 3D. Cada alineador se lleva aproximadamente 1–2 semanas antes de pasar al siguiente. El sistema permite visualizar una simulación del resultado final antes de empezar el tratamiento, lo que aporta mayor previsibilidad y control.
¿Qué es el escáner iTero y para qué sirve?
El escáner iTero es un dispositivo de escaneo intraoral en 3D que sustituye a las impresiones tradicionales con pastas. Permite obtener una imagen digital precisa de la boca del paciente en pocos minutos, mejorar la comodidad y planificar el tratamiento de forma más exacta. Además, puede mostrar una simulación aproximada del posible resultado.
¿Cuántas horas al día hay que llevar los alineadores?
Para que el tratamiento sea eficaz, se recomienda llevar los alineadores entre 20 y 22 horas al día. Solo deben retirarse para comer, beber (excepto agua) y realizar la higiene oral. La constancia es clave para que el tratamiento avance según lo planificado.
¿Es tan eficaz como los brackets?
En muchos casos, sí. La ortodoncia invisible puede tratar desde apiñamientos leves hasta maloclusiones moderadas y complejas, dependiendo del diagnóstico. La indicación adecuada y una buena planificación son fundamentales para obtener resultados óptimos.
¿Duele la ortodoncia invisible?
Puede generar una ligera sensación de presión al estrenar cada alineador, lo que indica que está actuando sobre los dientes. Esta molestia suele ser leve y temporal, desapareciendo en pocos días.
