Son un tratamiento duradero, pero pueden necesitar mantenimiento o recambio con el paso de los años.
Carillas dentales en Palencia
Clínica especializada en carillas en Palencia
Las Carillas en Palencia son un tratamiento de estética dental diseñado para mejorar la forma, el color y la armonía de la sonrisa de manera rápida y conservadora. Consisten en finas láminas que se adhieren a la parte frontal del diente para corregir imperfecciones como manchas, fracturas, desgastes, pequeños apiñamientos o separaciones entre dientes.
En nuestra clínica realizamos un estudio personalizado de cada sonrisa, analizando proporciones, forma facial y expectativas del paciente. Las Carillas en Palencia permiten transformar la estética dental con resultados naturales y personalizados. En muchos casos, la preparación del diente es mínima, preservando al máximo la estructura dental original y garantizando una integración estética excelente.
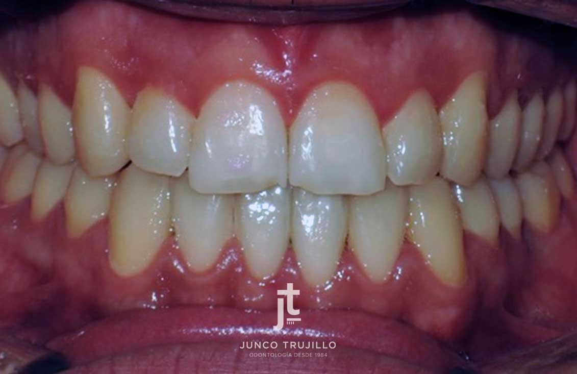
Casos de carillas
Mejora la armonía de tu sonrisa con carillas en Palencia
Existen diferentes tipos de Carillas en Palencia según el material y las necesidades del paciente. Las carillas de composite se realizan directamente sobre el diente en clínica, permitiendo modificar forma y color en una sola sesión. Son una opción más conservadora y fácilmente reparable.
Por otro lado, las carillas de porcelana o cerámica se fabrican a medida en laboratorio y ofrecen una mayor resistencia y estabilidad del color a largo plazo. También existen carillas ultrafinas, que requieren un desgaste mínimo o incluso nulo del diente en casos seleccionados. La elección dependerá del diagnóstico, los objetivos estéticos y la situación clínica de cada paciente.
Preguntas frecuentes
¿Las carillas dañan el diente natural?
En la mayoría de los casos se realiza una preparación mínima. El objetivo es conservar la mayor cantidad posible de esmalte.
¿Cuánto duran las carillas?
Las de composite pueden durar varios años con buen mantenimiento, mientras que las de porcelana suelen ofrecer mayor durabilidad y estabilidad del color.
¿Se pueden poner carillas en todos los dientes?
Normalmente se colocan en los dientes visibles al sonreír, especialmente en el sector anterior.
¿El procedimiento es doloroso?
No suele ser doloroso. En algunos casos puede utilizarse anestesia local si es necesario realizar una ligera preparación.
¿Cambian de color con el tiempo?
Las carillas de porcelana mantienen muy bien su color. Las de composite pueden pigmentarse más fácilmente si no se cuidan adecuadamente.
¿Requieren cuidados especiales?
Se recomienda una buena higiene oral y revisiones periódicas. Evitar hábitos como morder objetos duros ayuda a prolongar su duración.
¿Puedo hacer vida normal con carillas?
Sí, se puede comer y sonreír con normalidad, aunque es aconsejable evitar alimentos extremadamente duros.
